여러분의 평생 주치의가 되어 구강 관리와 건강을 책임지겠습니다.
사랑니는 입안 제일 뒤쪽의 세 번째 큰 어금니를 말합니다. 사랑을 느끼는 나이인 19세~20세쯤에 난다고 해서 사랑니로 불리고 있습니다.
보통 위턱에 2개, 아래턱에 2개 모두 4개의 사랑니를 가지고 있으나 현대에 들어서는 예전 사람들에 비해 턱뼈가 작고 보철술의 발달로 어금니의 상실률이 적어지게 되면서 공간상의 문제로 나와야 할 치아가 나오지 못해 턱뼈 속에 묻히게 되는 경우가 많이 발생하고 있습니다.
또한 진화가 더욱 철저히 된 사람들의 경우는 사랑니 자체가 아예 발육되지 않은 경우도 있습니다.
01 / 구강검진
구강검진을 받기 위해서는 전신적인 건강 상태 및 원인, 정도 등을 파악하고 치아 전체의 건강 상태를 체크한 후 치료 여부를 결정합니다.
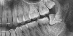
02 / X-Ray
검진 후 X-Ray 촬영 후 사랑니의 상태 확인 평가 후 계획을 수립합니다.
03 / 상담 및 발치
시술 전 충분한 상담을 통해 시술 여부를 확인하고 부드럽고 편안한 사랑니 시술을 진행하기 위해 준비하고 발치합니다.